Üzülerek belirtmek gerekiyor ki ülkemizde mide kanseri teşhisi çok büyük oranda (%90 ve üzerinde) kanser ileri evreye geldiğinde konulmaktadır. Bu kötü sonuç mide kanseri hastalarının tedavisini güçleştirmekte, uygulanan modern cerrahi teknikleri, ameliyat öncesi/sonrası yapılan kemoterapiler ve radyoterapi uygulamalarına rağmen hastalarda beklenen yaşam süresi oldukça kötüdür.Ülkemizde bu hastalarda ameliyat sonrası 5 yıllık yaşam beklentisi %25 seviyesinde kalmaktadır.
Japonya’da halkın beslenme alışkanlığına bağlı olarak mide kanseri çok sık görülen bir hastalıktır ve Japon halkına rutin mide kanseri tarama endokopileri yapılmaktadır. Daha 25 yaşında başlanan bu endoskopik taramalar sayesinde, hastaların %95 inde mide kanseri erken evrede yakalanmaktadır. Kanserin tek bir hücrenin farklılaşması ile başladığı ve bu aşamadan itibaren ileri evre mide kanserine ulaşmasının azımsanmayacak bir süreç olduğu göz önüne alınırsa, aslında kanserin erken evrede yakalanması elbette mümkündür. Midenin iç yüzünü döşeyen mukoza hücrelerindeki kanser gelişiminin ilerleyerek midenin diğer derin katlarına ulaşması sürecinde, erken mide kanseri olarak tanımlanan bölüm, kanserin submukozaya kadar invaze olduğu ve kas tabakalarında kanser invazyonunun bulunmadığı aşamayı tanımlamaktadır.
Kanserin kas tabakalarına sıçramadan tanınması son derece önemlidir. Çünkü kas tabakası ve daha derin tabakaların tümör tarafından tutulması kanserin lenf bezleri yolu ile yayılma ihtimalini çok artırmaktadır. Japonya’da erken mide kanserleri büyük oranda ameliyata gerek kalmaksızın endoskopik yöntemlerle tedavi edilmektedir ve bu hastalarda endoskopik tedavi sonrası 10 yıllık yaşam beklentisi %90 ve üzerindedir. Bu sonuç kanserin erken evrede yakalanmasının ne kadar önemli olduğunu göstermektedir.
İleri evrede tanı konulması büyük oranda hastaların hekime geç başvurmasından kaynaklanıyor olabilir. Bu nedenle halkı mide kanseri konusunda bilgilendirici çalışmalar yapılmalıdır. Kimlerin risk grubunda olduğu iyice anlatılmalı ve hangi yakınmalar olduğunda hekime gecikmeden başvurulması konusunda halk bilinçlendirilmelidir. Ancak tanıdaki gecikmeler için madalyonun diğer yüzünde hastane, cihaz ve hekim kaynaklı olabilecek nedenler bulunmaktadır.
Mide kanseri tanısı günümüzde gastroskopi ile konulmaktadır. Gastroskopik inceleme aslında uygulamayı yapan hekime ve cihazın kalitesine bağlı olarak farklılıklar göstermektedir. Herşeyden önce hekim gastroskopi işlemi için yeterli süreyi ayırmalıdır ve inceleme çok dikkatli bir şekilde yapılarak, detaylı olarak tüm mide mukozası incelenmelidir.İşlem sırasında eğer mide açlık sıvısı varsa tümüyle aspire edilmelidir. Gerekirse mide mukozası bol sıvı ile yıkanarak tüm mide mukozası görünür hale getirilmelidir. Uygulanan endoskopi teknikleri ile hiçbir kör noktanın kalmasına izin verilmemelidir. Hastanın iyi şekilde sedatize edilmesi incelemeyi kolaylaştıran bir faktördür.
Diğer önemli bir faktör endoskopun kalitesidir. Günümüzde çok çeşitli endoskopi markaları vardır ve her markanın da geniş bir yelpazede değişen ürünleri bulunmaktadır. Kaliteli bir cihaz objeleri gerektiğinde büyüterek küçük lezyonların görünür hale gelmesine, yani fark edilmesine yardım eder. Gelişmiş bir endoskopi cihazı farklı dalga boyu ve farklı ışıklar vererek erken mide kanseri tanısı konulmasına yardımcı olabilir.
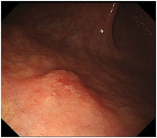
Erken teşhis konulmasına bir diğer önemli uygulama boyama yöntemidir. Bu yöntemde mide içeriği tümü ile aspire edilip yıkandıktan sonra, mide mukoazası özel boyalarla boyanır. Kanser hücreleri boyayı az tutar. Halbuki normal mide mukozası hücreleri homojen şekilde boyanır. Bu durum işlem sırasında boyayı az tutan kanser hücrelerinin tanınmasını sağlar. Kanser hücrelerinin diğer bir özelliği de boyama sonrası yıkama yapıldığında, tuttuğu boyayı bırakmaz. Normal mide mukoza hücreleri ise boyama sonrası yıkama yapıldığında boya maddesini tümü ile bırakır ve homojen bir görüntü verir. Bu özellik de yine kanser hücrelerinin tanınmasını kolaylaştırıcı önemli bir faktördür. Sonuç olarak boyama yöntemi kanser hücrelerini endoskopi işlemi sırasında tanınır hale getirir, biyopsi alınarak ve tanı konulmasını sağlar.
Özellikle riskli grupta olan hastaların endoskopileri daha dikkatli yapılmalı ve mümkünse boyama yöntemi kullanılarak erken mide kanseri varlığı araştırılmalıdır. Riskli gruba giren hastaların başında ailede mide kanseri pozitifliği olan hastalar gelmektedir. Anne/baba ve kardeş gibi birinci derece akrabalarda mide kanseri bulunan hastalar bu risk grubuna giren hastalardır. Ayrıca diğer yakın akrabalarda sık mide kanseri görülmüş olması yine kişiyi riskli hasta grubuna sokar.
Diğer risk faktörleri sigara, alkol, şişmanlık, daha önce geçirilmiş mide ameliyatları, Helikobakter Pilori ile enfekte olma hikayesi, daha önceki endoskopilerde atrofik gastrit tanısına sahip olmak ve kanserejon gıdalarla (tütsülenmiş ve çok fazla katkı maddeleri içeren – sosis gibi gıdalar) beslenme alışkanlığı sayılabilir. Ayrıca hastanın mide kanseri alarm semptomlarına olması ivedilikle hekime başvuru ve endoskopik muayene yapılmasını gerekli kılar. Bu semptomlar epigastrik ağrı, yanma, bulantı, kusma, kilo kaybı, iştahsızlık, az miktarda gıda alımı ile doygunluk oluşma hissi, yutma güçlüğü, kansızlık ve siyah renkli dışkılama olabilir.
Biz yaptığımız endoskopik incelemelerde, muayene öncesinde mutlaka hastada geniş bir sorgulama yapmaktayız ve eğer varsa risk faktörlerini ortaya koymaktayız. Riskli grupdaki hastalara ve mide kanseri alarm semptomlarına sahip olan hastalarımızda mutlaka boyama tekniğini kullanıyoruz. Bu şekilde mide kanserini erken evrede yakalamak mümkün olmaktadır. Erken evrede yakaladığımız mide kanseri hastalarımızı çok büyük cerrahi ameliyatlara gerek kalmadan endoskopik submukozal diseksiyon tekniği ile tedavi etmekteyiz. Boyama öncesi ve sonrası elde edilen bazı görüntüler aşağıda sunulmuştur.













